APECED: Dental enamel hypoplasia - Image
Image
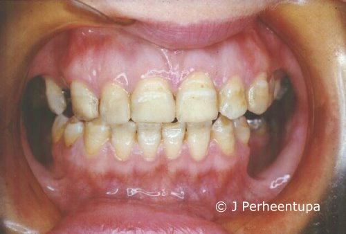
APECED: Dental enamel hypoplasia. Transverse dental enamel hypoplasia of permanent teeth in a patient with the APECED syndrome (APECED (autoimmune polyendocrinopathy -candidiasis -ectodermal dystrophy)).
Picture: Jaakko Perheentupa
Copyright © 2025 Duodecim Medical Publications Limited.
Citation
"APECED: Dental Enamel Hypoplasia - Image." Evidence-Based Medicine Guidelines, John Wiley & Sons, 2025. Evidence Central, evidence.unboundmedicine.com/evidence/view/EBMG/456612/all/APECED:_Dental_enamel_hypoplasia___Image.
APECED: Dental enamel hypoplasia - Image. Evidence-Based Medicine Guidelines. John Wiley & Sons; 2025. https://evidence.unboundmedicine.com/evidence/view/EBMG/456612/all/APECED:_Dental_enamel_hypoplasia___Image. Accessed November 16, 2025.
APECED: Dental enamel hypoplasia - Image. (2025). In Evidence-Based Medicine Guidelines. John Wiley & Sons. https://evidence.unboundmedicine.com/evidence/view/EBMG/456612/all/APECED:_Dental_enamel_hypoplasia___Image
APECED: Dental Enamel Hypoplasia - Image [Internet]. In: Evidence-Based Medicine Guidelines. John Wiley & Sons; 2025. [cited 2025 November 16]. Available from: https://evidence.unboundmedicine.com/evidence/view/EBMG/456612/all/APECED:_Dental_enamel_hypoplasia___Image.
* Article titles in AMA citation format should be in sentence-case
TY - ELEC
T1 - APECED: Dental enamel hypoplasia - Image
ID - 456612
BT - Evidence-Based Medicine Guidelines
UR - https://evidence.unboundmedicine.com/evidence/view/EBMG/456612/all/APECED:_Dental_enamel_hypoplasia___Image
PB - John Wiley & Sons
DB - Evidence Central
DP - Unbound Medicine
ER -

Evidence-Based Medicine Guidelines

