Amnion and chorion (ultrasound scan) - Image

Image

Image

Image

Amnion and chorion (ultrasound scan)
Amnion and chorion (ultrasound scan)

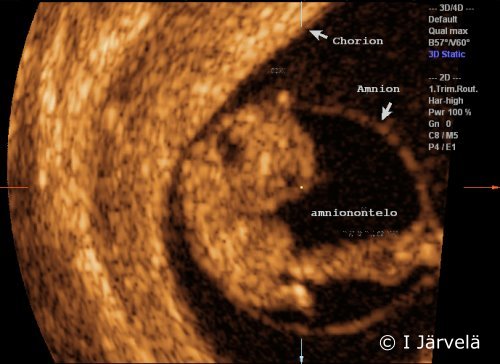
Pregnancy week 8. The amnion and chorion are marked in the ultrasound scan (amnionontelo = amniotic cavity).

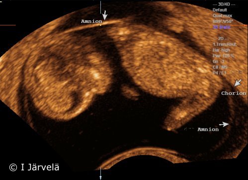
Pregnancy week 11.

Pictures: Ilkka Järvelä; text: Dimitrios Scordas

Copyright © 2025 Duodecim Medical Publications Limited.
© 2000–2025 Unbound Medicine, Inc. All rights reserved
All content is protected by copyright and may not be used for AI model training or other unauthorized purposes.